一つの治療法を批判するときのルール
最近、歯科医向けではなく、患者さんに啓蒙する目的の本やブログでインプラントや矯正治療に対して安易な批判を繰り返している文章を目にすることが多くなりました。
このことを真に受けてしまうと危険ですので、私なりの考えを書いてみたいと思います。
ある治療を真っ向から批判する場合は、その治療について真剣に深く勉強をし、実際にやってみてから行うべきです。そうしないと、書いてあることが一部分しか見ていない、歪んだ、こっけいな内容になってしまいます。
例えば矯正治療について、
「なぜ、不正咬合と呼ばれる形態を呈しているのか?」
それが全く理解されていない歯科医が矯正治療全般を批判されているのは如何なものか。
原因にアタックする方法があり、本来あるべき骨格へともっていくことができるのであれば、積極的にコンサルテーションするべきでしょう。もちろん年齢的な限界はありますが‥‥。

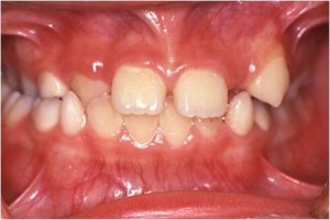
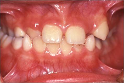
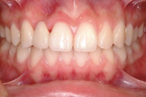
また、最近永久歯が先天的に欠損している患者さんが非常に多いのに、矯正治療を頭からダメだと決めつけて、左のような患者さんを見て放置されるのでしょうか?放置することで体が歪みませんか?「様子を見ましょう」という伝家の宝刀を抜きますか?
上顎右側切歯(右上の真ん中から2番目の歯)の先天性欠損部には
● 簡単な床矯正装置
● 機能矯正装置
● スタンダードエッジワイズ法
によってスペースを作り、隣在歯を傷つけることなくシェルを接着して、咬合調整を行い終了しています。
このように書くと、私が全ての患者さんに対して矯正治療を積極的に薦めているのかのように誤解されてしまいそうですが、そうではありません。
「矯正治療はお奨めしません。やめた方がいいと思います。」
と伝えることも頻繁にあります。「自然成長誘導法」の概念を理解し、真実に近いことがわかってくると、なぜやらない方がよいかがクリアに見えてくるのですが(細かいことを書いてしまうと論文みたいに長くなってしまうので、この点はホームページの「頭蓋・顎顔面・口腔咽頭治療」を読んでみてください)、矯正治療、特に 『 抜歯矯正 』 をするときに問題なのは、後ろに引いてしまうことで口腔咽頭部の障害を悪化させてしまうことや前歯部のガイドを酷く(ひどく)きつくしてしまうこと。
また、細かな咬合調整ができずに不安定な咬み合わせで「治療終了」の宣言がなされていることなどです。ちなみに当院で矯正治療された患者さんには、定期的に来院していただき、咬み合わせの細かなチェックをしています。
ビューティー○○○○○などの治療後を見ると「体壊していくだろうな」と気の毒になることがありますし、有名人では
○ 女子マラソンの土佐礼子さんの矯正治療
○ 女子マラソンの高橋尚子さんの前歯部補綴(セラミック治療)
○ ペ・ヨンジュンさんの全顎補綴
○ 元プロ野球選手の新庄剛志さんの同じく全顎補綴
が行われたことで、明らかに体調が悪くなったり、選手生命を絶たれたりしていますので、批判をしたくなるのもわからないではないのですが‥‥。
いずれにしても、最初に書いたように、矯正治療やインプラントを含めて一つの治療法を批判したいときには、一回中に入って、とことんやって、勉強して、それから行われた方がよいし、ルールであると思います。
この文を書こうかどうか迷ったアラフィフ歯科医を応援していただける方、右下の【歯科医】ボタンをプチッとクリックお願いします。
