歯内治療における誤解 その1
「痛み」を主訴に来院される患者さんのかなりのパーセンテージを占めるのが「歯内治療(神経の治療)」関連です。
歯内治療は、直視によるお口の中の診査+レントゲン写真検査で
・開口度(どれだけ大きくお口を開けてくれるか)
・根管口を直視しやすいか(開口度もかかわってきます)
・根管数
・根管の大きさ
・根管の長さ
・根管の弯曲度
・根管系(網状根管などの複雑さ)
を頭の中で瞬時に難易度を診断し、実際の治療に入っていきます。
7つのうち6つに関しては、どういったものが難しいということは共通しているしていると思いますが、一つだけ誤解が多い項目があります。それが、
【 根管の大きさ 】
です。
現在、ニッケルチタン製ファイルがあるために、ある程度の弯曲であれば(根尖近くでの急激な弯曲でなければ)、過不足なく根管拡大・形成することはそれほど難しいことではありません。
これが、根管が大きく(若年者であることが多い)、それも弯曲しているとなると、話がかわります。
根管が大きい=象牙質が薄い
という条件で、必要十分な拡大・形成を行い、歯根破折を起こさないようにできるだけ長く延命させていくということは、ストレートな根管であれば、慎重にファイルサイズを上げていくことで達成は可能だと思います。
一方、「ファイルサイズを上げる」 ということは 「ファイルのしなりがなくなる」 ということを意味するため、弯曲根管においては、通常の方法で治療を進めて行くに伴って、その弯曲部を無意識に、不用意につぶしていくことになります。
この結果、歯の脆弱化が進み、さらに抗原性の物質を取り残す可能性がある。
・長期の延命と
・確実な抗原性物質除去を達成する
方法がどれほど存在しているでしょうか?
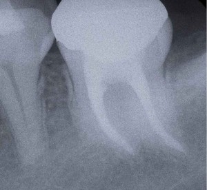
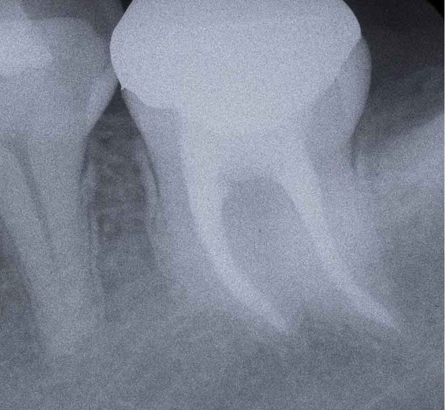
そこそこ細くて弯曲している根管より遙かに難しいのが、写真のような「太くて弯曲している根管」なのです。
お時間があるときに、右下の【歯科医】ボタンをプチッとクリックお願いします。





