歯並びの日
このようなことは珍しくなく、コンスタントにあることですが、特にこの1ヶ月くらいは、
・筋機能訓練をやるように言われ、一生懸命努力しているのだがいっこうに良くなる気配がない。
・既製品の矯正ツールを渡され、真面目にやっているのにあまり変化がなく、顔だけが長くなってきた。
という、本当にピンポイントで、この2つを理由に当院に相談にやってこられるご家族が増えています。
かわいそうなことに、ともに涙ぐましい努力の甲斐なく、疲れ果て、ワラにもすがる思いで、遠く離れた
松 浦
まで足を運んでこられるということで共通しています。
実際の治療以外のために、何度も片道数時間の距離を通院していただくのは申し訳ありませんので、初診時に資料取りを行い、当日中に精一杯の診断をさせていただいています(資料取り、および診断料はいただいおりません)。
その結果、私の技術で大きな改善が見込まれる場合がほとんどですので、遠方からとはわかりつつ
バイオブロック、RAMPAを用いた顎顔面口腔育成治療
をお勧めすることになります。
今日は
● そろばんの日(そろばんをはじく音「パチ(8)パチ(8)」の語呂合わせ)
● タコの日(タコの足が8本であることから)
● ひょうたんの日(数字の8がひょうたんの形に似ていることから)
ということですが、なんと8が並ぶ日であることから
でもあります。
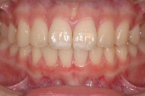
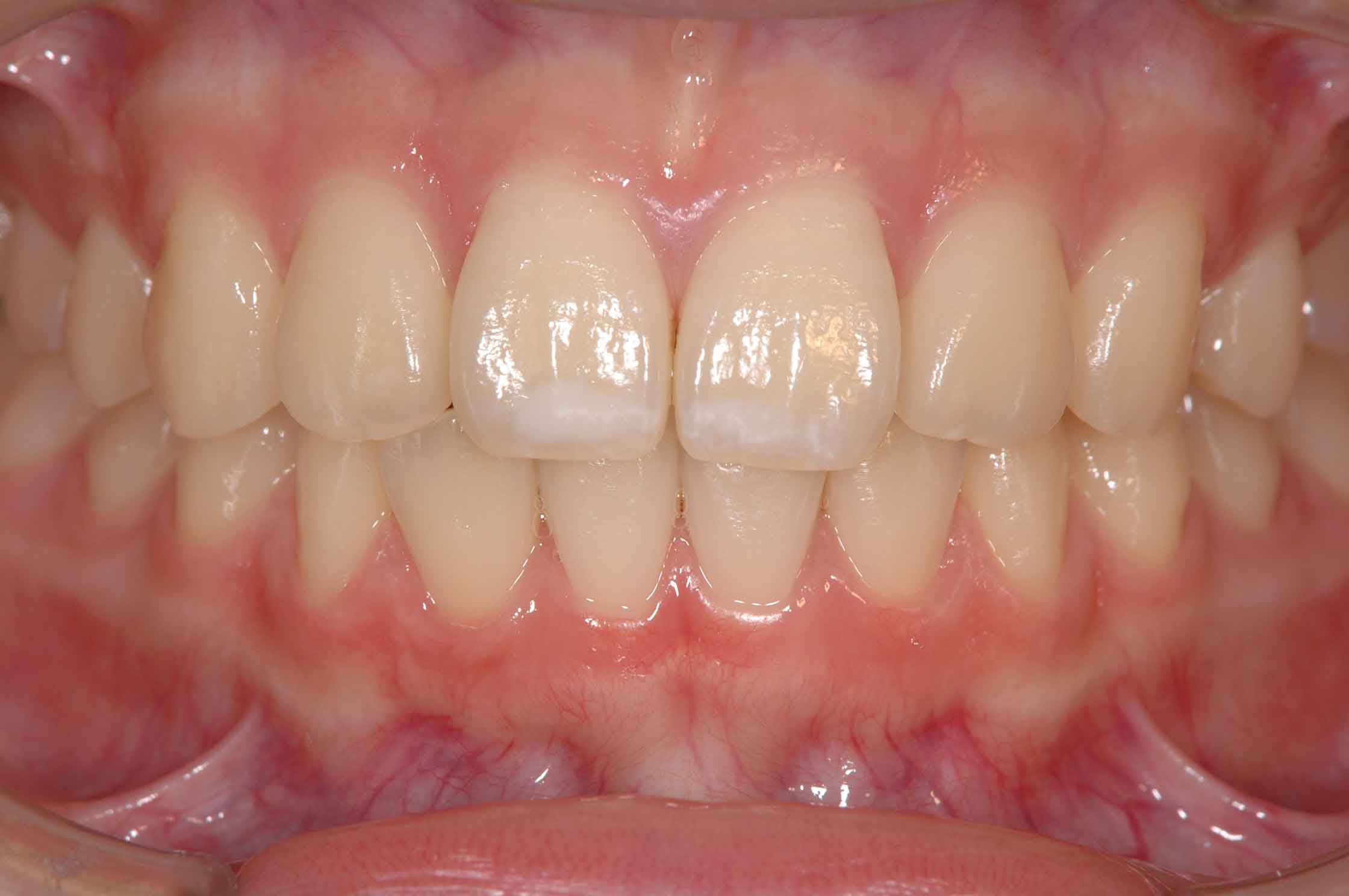
成長期のお子さんであれば、顔貌、呼吸、アレルギー疾患他の改善などを目指しながら、しっかり歯並びも良くすることをポリシーにしているアラフィフ歯科医になんなりとご相談ください。
但し、予約をされていらっしゃる場合、時間を空けてお待ちしていますので、無断キャンセル(ブロークン)だけはご勘弁ください。
お時間があるときに、右下の【歯科医】ボタンをプチッとクリックお願いします。

