機能より形態、特に舌房の確保優先
「不正咬合の患者に対して、機能に対するアプローチを優先すべきか、あるいは形態優先か。」
「卵が先か?鶏が先か?」と同じように論じられることがあるようですが、それほど難しいことではないでしょう。
形態的に大きな異常がある場合は、まずそれに対する治療を進めていき、ある程度修正できたならば機能を考えていく。
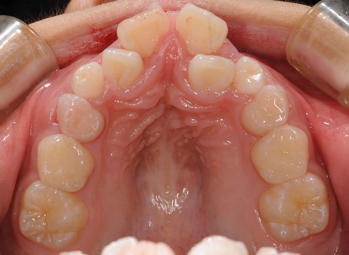
写真は極端な例ですが、このように高口蓋(これは骨のひずみです)を呈するケースはとても多いでしょう?
高口蓋の状態で機能訓練をするのは、ある意味
い・じ・め
ですよ。
舌を変形させないと入らないでしょう?
また、こういった場合、その舌は必ず奥と下方に押し込められて機能訓練には不利な状況なのですから、相当無理なことを強要しているのです。
もしやるのであれば、テンポ良く形態的に修正したあと!
あるいは、
そういう矯正治療ができないとても幼い時期に、機能の異常があれば行う!
これでよくないですか?
ただ、バイオブロック療法、特にステージ3を極めていくと、筋機能訓練の必要性をほとんど感じません。
「歯と歯槽骨は短期の力には強い抵抗性を示すが、長期の力には反応性が高い。」
このWilliam R. Proffit の言葉通り、短期的な強い力である機能が形態(歯列)をよくするのではなく、オーラルポスチャー(舌、口唇、頬などの姿勢、位置)を変化させることで自然な成長発育を誘導し、その結果歯列が整ってくるというのが、バイオブロック療法の創始者 Prof. John Mewの考えで、症例数が増えれば増えるほど、それが正しいことだと理解できるようになります。
筋機能訓練を深く勉強して実践されている先生やスタッフのかたたちには、到底受け入れることができない内容かもしれませんが、私が使用している1枚のスライドを見ていただき、それにあてはまっていないかどうか、考えていただきたいと思っています。


