• カテゴリー

  • 最近の投稿

  • 月別アーカイブ

  • 検索

にほんブログ村 病気ブログ 歯科医へ

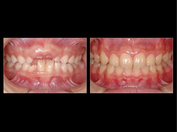
魅力的で健康的な顔に変えるとは、この写真のようなこと

Posted by Suetake 2020年2月15日

今日は土曜日。

9時から12時15分までで、40人の患者さんの名前が予約票を埋めていました。

治療のクオリティーを落とさないために、私を含めた末竹歯科医院スタッフ全員が普段より動きを早く、場合によっては少し小走りに治療台間を移動しながら働いていて、そこには

『 週末の戦場 』

という名にふさわしい風景がありました(^^;)

 

その40人の中の一人の患者さん。

当院スタッフの甥であり、元スタッフの長男の矯正治療が、もう少しで終わります。

もちろんバイオブロック療法で行ったので、ご覧の通り、

素晴らしい中顔面の張りとオトガイの前方配置

による、ほぼ理想的な顔貌となっています。

 








自分の子どもや孫に是非やってあげたい、成長発育期の小児に対する矯正治療。

そのバイオブロック療法に関するお話を、8日後の

2月23日(日曜)

熊本県歯科医師会館

においてたっぷり行います。

連休中ですので既に予定が入っていたり、ゆっくり休みたいというかたが多いでしょうが、都合がつかれる方はご参加ください。

 

あと2年少しで還暦を迎えるのに、いつまで週末の戦場が続くのかなと少し憂鬱なGG歯科医を応援していただけるかた、右下の【歯科医】ボタンをぷちっとクリックお願いします。